dental clinic Community
| 전체, 전악, 무치악 임플란트에 대해 알아보겠습니다 작성일 | 2026.03.27 |
|---|
|
치아가 없는 무치악 환자들에서의 임플란트 치료에 대해 알아보겠습니다.
평균 수명이 길어짐과 동시에 충치, 치주염으로 인해 다수의 치아를 상실하는 환자들도 지속적으로 늘어나고 있습니다. 다수 치아를 상실했을 경우 예전에는 틀니가 보편적인 치료 방법이였습니다. 하지만 틀니에 적응하는 것이 쉽지 않아 불편을 호소하는 환자들이 대부분이고, 틀니가 잘 맞지 않은 경우에는 사회생활과 영양섭취에 큰 어려움을 겪게 됩니다.
치아가 없는 환자에게 아직도 틀니만이 유일한 치료일까요?
이제는 틀니 대신 무치악임플란트 (전악임플란트)를 추천합니다.
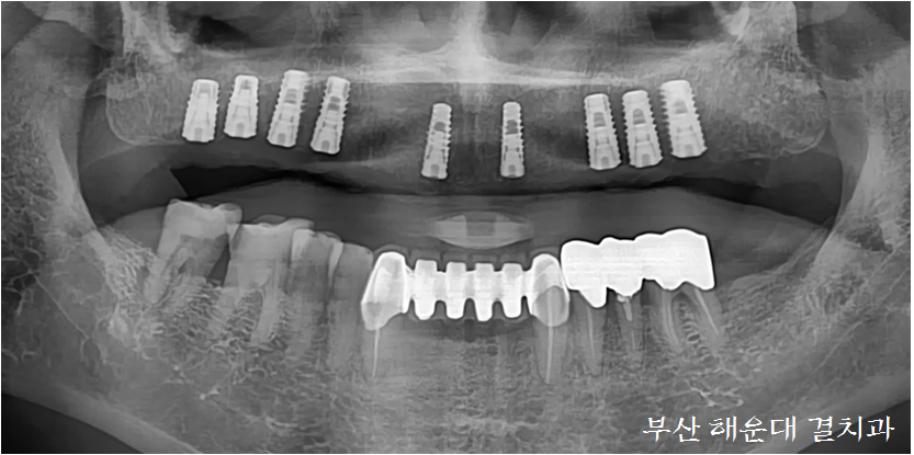
다음 환자는 상악 잔존치아가 파절 되어 발치 후 틀니로 치료를 진행하셨지만, 4개월 만에 불편함과 여러 가지 이유로 임플란트가 가능한지 문의해 오셧습니다.
상담후 9개의 임플란트를 식립하고 고정성 보철물(틀니와 다르게 입안에 고정되어있는 보철)로 진행하기로 하였습니다.
(위 사진은 환자분의 동의 하에 게시하였습니다.)
발치 후 임플란트 식립 사진입니다. 역학적으로 꼭 필요한 부위에만 임플란트를 식립하고, 사이에 비어있는 공간은 '브릿지 보철'로 수복 할 수 있도록 게획하였습니다.
추가적으로 뼈가 부족한 부위에는 '골이식(뼈이식)'을 시행하였습니다.
수술에 소요된 시간은 1시간 30분 이내로, 빠른 시간 내에 수술이 완료되어 통증과 출혈을 최소화 하였습니다. 해운대 결치과에서는 수술 전에 정밀한 수술가이드 제작, CT촬영, 정확한 분석과 컴퓨터가상수술을 시행하기 때문에 짧은 수술시간안에 정확한 위치에 다수 임플란트를 식립 가능합니다.
결치과에서 진행되는 무치악임플란트 수술 절차를 설명 드리겠습니다.
01. 초진 상담 및 CT촬영 가이드 제작
초진 내원 하셧을 경우 구강 내 상태를 확인하고, CT촬영 가이드를 제작하게 됩니다.
(위 사진은 환자분의 동의 하에 게시하였습니다.)
02. 3차원 CT촬영, 분석 및 치료계획 결정
다음 내원에 제작된 CT촬영가이드를 입안에 끼우고 CT를 촬영합니다. 촬영 직후 CT영상을 통해 최적의 임플란트 개수와 식립 위치, 골이식 유무를 분석합니다.
(위 사진은 환자분의 동의 하에 게시하였습니다.)
CT분석 후 바로 환자분과 영상을 보며 상담을 진행하는데, 환자분 상황에 맞춰 임플란트 종류, 개수와 보철종류를 결정하게 됩니다.
03. 컴퓨터 가상 수술 및 임플란트 수술 유도장치 제작
환자분 귀가 후, 결정된 내용을 기반으로 수술 준비를 시작합니다. 컴퓨터 가상수술을 시행, CT촬영가이드의 방향 및 위치를 수정하여 임플란트 수술유도장치를 제작하고 수술에 필요한 임플란트의 종류, 임플란트 크기와 골이식 재료등을 준비 합니다.
철저하게 수술 준비가 되어 있기 때문에, 계획에 따라 수술이 진행되고 환자는 예약 날짜에 안전하게 수술을 받으시면 됩니다. 하지만 위와 같은 철저한 준비 보다 중요한 것은 정교하게 수술을 할 수 있는 의료진의 실력입니다.
(위 사진은 환자분의 동의 하에 게시하였습니다.)
식립 후 사진(좌)과 CT분석(우)에서의 사진을 비교해 보면 거의 동일한 위치에 임플란트가 정확히 식립되어 있는것을 볼 수 있습니다. 해운대 결치과는 대학병원에서 임플란트 수술을 전문으로 많은 수술경험을 갖고 있기 때문에 안심하고 수술을 받으시면 됩니다!
05. 임플란트 보철물 제작
상악의 경우 임플란트와 치조골 사이의 결합까지 3-4개월 이상의 치유기간을 거쳐 최종 보철물을 완성하게 됩니다.
질문 1) 치아가 없는 개수 만큼 임플란트도 같은 개수를 심어야 하지 않습니까?
꼭 그렇지 않습니다! 임플란트를 상실된 치아 개수 만큼 식립하는 것은 좋지만은 않습니다. 건강한 임플란트를 위해서는 임플란트 주변에 반드시 확보해야 하는 뼈의 두께(2mm 이상)와 임플란트 간 거리(3mm이상) 가 있는데, 너무 많은 임플란트를 식립하다 보면 이러한 조건을 만족시키지 못할 수도 있기 때문입니다.
질문 2) 치아 빠진게 오래되서 뼈가 약한데(부족한데) 임플란트가 가능할까요?
어느 정도 가능합니다! CT분석 후에 가능하다면 골이식을 먼저하고 나중에 임플란트를 식립하거나, 골이식과 동시에 식립이 가능합니다. 뼈가 많이 부족한 경우 임플란트를 어떻게 식립하는지는 다음 기회에 설명 드리도록 하겠습니다.
아버님, 어머님 그동안 틀니가 많이 불편하셨죠? 이제 마음껏 뜯고! 씹고! 맛보고! 즐길 수 있습니다. 부산 해운대 결치과 무치악 임플란트에서 경험해 보세요. |
| 이전글 | 결치과에서는 마취가 잘 안 되는 분도 걱정 없어요! 2025.08.12 |
|---|---|
| 다음글 | 다음 게시글이 없습니다. |
| 임플란트 | 오스템 | 100만원 |
|---|---|---|
| 디오 | 89만원 | |
| 뼈이식 | 기본 | 30~50만원 |
| 상악동(crestal) | 50만원 | |
| 상악동(Lateral)뼈이식 별도 | 80만원 | |
| 보철추가 | pontic | 50만원 |
| 타치과보철 (커스텀포함) | 60만원 | |
| 보철 | PFM 크라운 | 45만원 |
| 지르코니아 | 60만원 | |
| 골드인레이 | 50만원 | |
| 세라믹인레이 | 35만원 | |
| resin fiber post | 20만원 | |
| 레진코어 | 15만원 | |
| 라미네이트 | 65만원 | |
| 보존 | 레진(전치부) | 15만원 |
| 레진(구치부) | 15만원 | |
| 치경부레진 | 10만원 | |
| 인접면우식레진 | 20만원 | |
| diastema | 20만원 | |
| 틀니 | 부분틀니 | 130만원 |
| 전체틀니 | 150만원 | |
| 임시틀니 | 50만원 | |
| 오버덴쳐 | 250만원 | |
| wire temporary도치1개 +5만원추가 | 20만원 | |
| 교정 | 고정식장치교정 | 450만원 |
| 부분교정 | 250만원 | |
| Retainer(악당) 6전치 1치당 5추가 | 30만원 | |
| MTA부분교정(4-6전치) *유지장치별도 | 130만원 | |
| 미용치료 (과세) |
보톡스 | 10만원 |